Η Ellie Jones είναι μια κοπέλα που πέρασε πολλά λόγω της εξωτερικής της εμφάνισης. Ήρθε η ώρα, όμως, που πήρε εκδίκηση.
Η ιστορία της
Η συγκεκριμένη κοπέλα, η οποία βρίσκεται στην ηλικία των 20 ετών, δεν βρήκε τα πάντα έτοιμα στη ζωή της. Η Ellie Jones γεννήθηκε με συγγενική παραμόρφωση στο πρόσωπό της. Τα δόντια της δεν ήταν ευθυγραμμισμένα. Ωστόσο, αυτό δεν ήταν το μοναδικό της πρόβλημα. Το σαγόνι της Ellie Jones δεν είχε μεγαλώσει από την ηλικία των 8 ετών.
Το αποτέλεσμα ήταν να δέχεται για το μεγαλύτερο χρονικό διάστημα της ζωής της πειράγματα. Πειράγματα και κοροϊδίες, οι οποίες ερχόντουσαν από άτομα της καθημερινότητας. Μάλιστα, οι συμμαθητές της την επηρέαζαν, καθώς τη χλεύαζαν για την εξωτερική εμφάνισή της. Αυτό είχε ως αποτέλεσμα, η ίδια, να έχει αυτοπεποίθηση σε ιδιαίτερα χαμηλά επίπεδα.


Η ίδια και ο οικογενειακός της περίγυρος αποφάσισαν να μη μείνουν με σταυρωμένα χέρια. Θέλησαν να προχωρήσουν σε μία χειρουργική επέμβαση. Μέσω αυτής της επέμβασης επιδιώκονταν να διορθωθούν όσα ενοχλούσαν την Ellie Jones, τα οποία κρατούσαν και την ψυχολογία της στο ναδίρ.
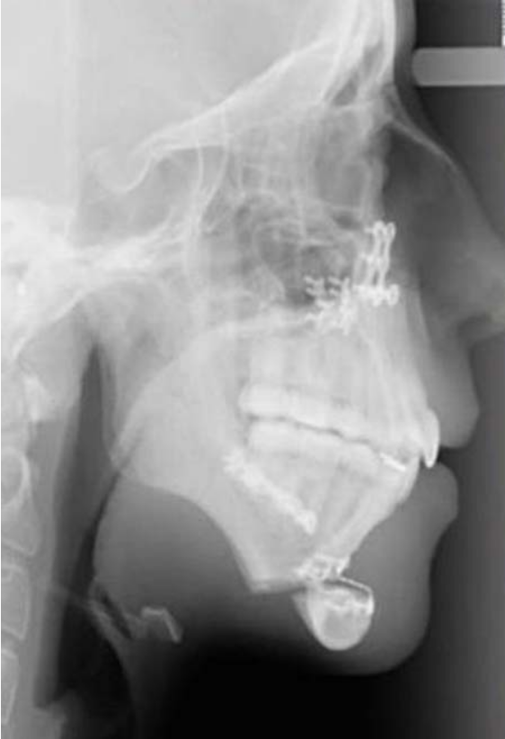
Η οικογένεια επισκέφθηκε έναν γναθοχειρουργό, ο οποίος βοήθησε στη μεταμόρφωση της Ellie Jones. Το πρώτη χειρουργείο προκάλεσε πολύ πόνο στην 20χρονη. Ήταν ιδιαίτερα δύσκολο σαν χειρουργείο και στο τέλος του έπρεπε να κάνει σωστή διατροφή. Αυτή εμπεριείχε μόνο υγρά για χρονικό διάστημα ενός μηνός, ενώ στο ξεκίνημα δεν μπορούσε να μιλήσει.

Στο χειρουργείο, που ακολούθησε, το οποίο ήταν δεύτερο κατά σειρά μπόρεσε να διορθώσει το πηγούνι της. Έτσι, μπόρεσε να μεταμορφωθεί και να φτιάξει παράλληλα και την ψυχολογία της.
Εκδίκηση: Όσα ανέφερε η μητέρα της Ellie Jones:
«Η χειρουργική επέμβαση δεν έχει αλλάξει μόνο τον τρόπο που κοιτάζουν την Ellie, αλλά και τον τρόπο που η ίδια βλέπει τον εαυτό της. Η αυτοπεποίθηση της έχει αυξηθεί και η ίδια έχει εξελιχθεί σε μια όμορφη νεαρή κοπέλα».



Περισσότερες Ειδήσεις σήμερα








