LIFESTYLE

«Έμειναν άφωνοι» οι γιατροί: “Δεν έπινε καθόλου νερό και τα νεφρά της κατάντησαν έτσι, 20 χρονών κοπέλα”

Ανάγνωση: 1'

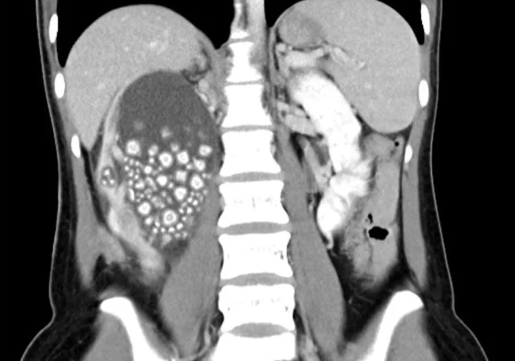
Μία 20χρονη παραπονιόταν για έντονο πόνο στο κάτω μέρος της πλάτης της και οι γιατροί που την εξέτασαν, βρήκαν 300 μικρές πέτρες στο νεφρό της.Ειδικότερα, η γυναίκα από την Ταϊβάν υποβλήθηκε πρόσφατα σε χειρουργική επέμβαση, προκειμένου να αφαιρεθούν 300 μικροί λίθοι από το δεξί της νεφρό.

Η νεαρή εισήχθη σε νοσοκομείο της πόλης Taina, αφού εκτός από έντονο πόνο, είχε πυρετό και μια εξέταση αίματος έδειξε ασυνήθιστα υψηλό αριθμό λευκών αιμοσφαιρίων.Μετά την αξονική τομογραφία, διαπιστώθηκε ότι το δεξί νεφρό της Yu ήταν γεμάτο πέτρες και η πρώτη ενέργειά των γιατρών ήταν να χορηγηθούν στη νεαρή γυναίκα αντιβιοτικά, ενώ στη συνέχεια αφαίρεσαν του εκατοντάδες λίθους.

Η 20χρονη γέμισε πέτρες, λόγω αφυδάτωσης

Τελικά, οι γιατροί αφαίρεσαν πάνω από 300 πέτρες, μεγέθους μεταξύ 5 και 2 εκατοστών, με την ασθενή να τους ενημερώνει ότι δεν έπινε σχεδόν καθόλου νερό και προτιμούσε τα ζαχαρούχα τσάγια και χυμούς για ενυδάτωση, με αποτέλεσμα αυτό της προκάλεσε χρόνια αφυδάτωση.

Περισσότερες Ειδήσεις σήμερα

Πήγε για εγχείρηση θυρεοειδή, πήγαν… όλα καλά και μετά από λίγο πέθανε: Νεκρός ο 27χρονος Νίκος, καταγγέλλει αμέλεια ο πατέρας του

+700 ευρώ στον μισθό και δικό σου σπίτι: Το νησί της Ελλάδας που μοιράζει λεφτά σε όποιον πάει για δουλειά

Επεισόδια στου Ρέντη: «Είναι άδικο να πεθάνει το παιδί μου» – «Ραγίζει» καρδιές ο πατέρας του 31χρονου αστυνομικού

#TAGS:
ΔΙΑΒΑΣΤΕ ΑΚΟΜΗ